Early March we installed two Xarosa cameras in India by EMSIS ASIA and JEOL INDIA engineers. There have been dozens of EMSIS camera throughout India. This was the first time we installed the Xarosa, the CMOS flagship of EMSIS.
The first installation is in National Chemical Lab. It is equipped on a JEM-F200, the ultra-high resolution 200KV TEM of JEOL. We had a special flange with shutter designed dedicated for this TEM model, to use in various imaging techniques like STEM imaging. The scintillator is optimized for this 200KV TEM to ensure the maximum sensitivity and electron-photon transfer efficiency. Within 1 day the installation was concluded very smoothly. Vacuum, remote, connection and software all perfectly fitted. The image quality is above expectation. We can see clear gold lattice at high resolution easily even without liquid nitrogen.
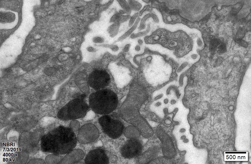
The second installation is in National Botanic Research Institute. It is installed onto JEM-1400flash, the high contrast 120KV TEM of JEOL. The customer mainly focused on life science samples. Therefore contrast is an important concern. We optimized this Xarosa camera for 100KV electron beam to ensure the best contrast and resolution. If needed the images can be further improved with the features in Radius software, such as drift correction and image averaging. Last but not least, we even see the high resolution lattice of carbon black at 120KV.
These two successful installation brings more confidence to our customers. The next Xarosa installations are already schedules in India.
Click on the images below for a more detailed look
![]() |
![]() |
![]() |


