Veleta

2k x 2k Side-Mounted TEM CCD Camera Solution

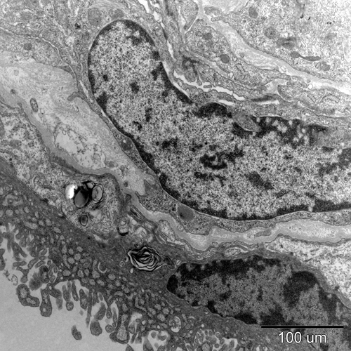
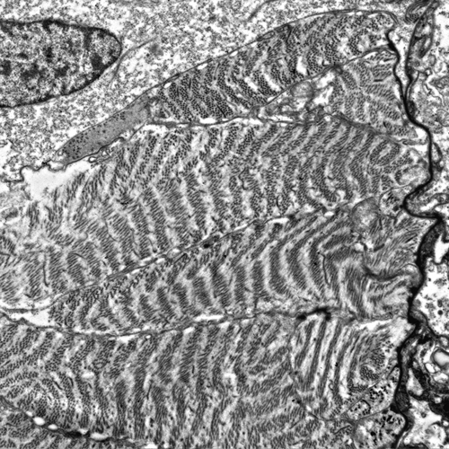
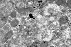
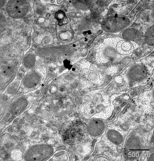
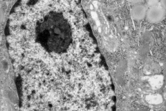
The Veleta is a side-mounted tem camera offering a Peltier-cooled CCD chip with 2k x 2k pixels and a dynamic range of 14 bits. The Veleta reflects current life science, bio-medicine, materials science and industrial requirements. this new camera works perfectly in conjunction with our tomography software, iITEM Solution Tomography. The Veleta is another component of EMSIS‘s vision of “Electron Microscopy made simple.”

Veleta