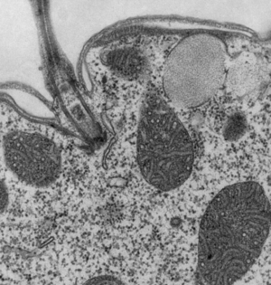
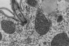
Xarosa B20T

Fast 20MP Bottom Mount TEM CMOS Camera
XAROSA is about to bring you into a new era of electron microscopy. With its unrivaled 20-megapixel CMOS image sensor, it sets new benchmarks in terms of speed, resolution and price / performance to meet your highest quality needs.

XAROSA_171110 edit