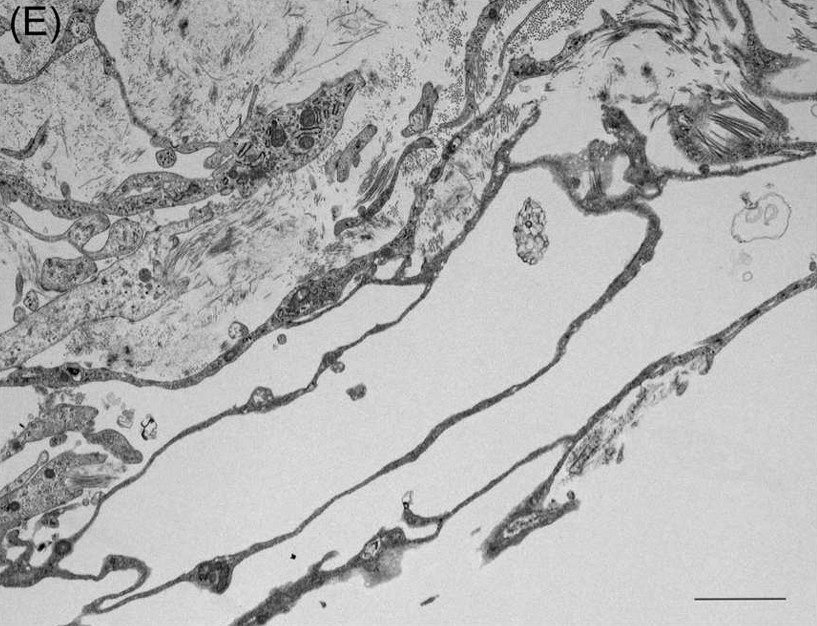
A new paper is published in the medical journal OTO Open. It is titled “Lymphatic Vessels in the Inner Ear of Patients with Meniere Disease: a Novel Pathological Finding”.
This is the first report of lymphatic vessels in the human inner ear, and this pathoogical structure is a completely new discovery. The lymphatic vessels may develop due to inflammation or decomprensation of pressure in the inner ear, suggesting that the inner ear can reactively form lymphatic vessels in some inflammation and fluid-dependent pathological coditions. The current findings help in improving our understanding of the pathogenesis of Meniere disease.

